
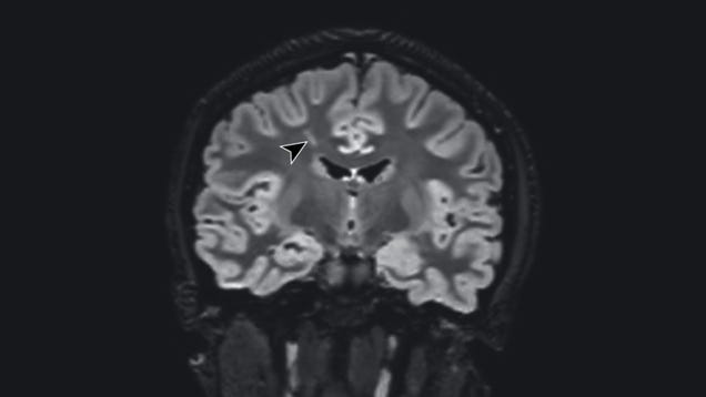
Researchers in California suspect that covid-19 triggered sudden mental illness in at least two of their teenage patients. Though they caution that a causative link remains uncertain, they say they’ve found evidence of antibodies attacking the brain of their patients post-infection, which could help explain the…
Source: Gizmodo – Doctors Say Mild Covid-19 Likely Triggered Psychiatric Illness in Two Teen Patients