
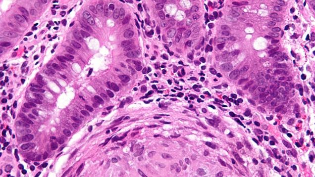
A fungal yeast found in cheese and other foods may wreak havoc in the guts of people with Crohn’s disease, according to new findings. In study published Thursday, researchers have found evidence that Crohn’s patients are much more likely to carry that yeast than the general public, and that this yeast is linked to…
Source: Gizmodo – A Common Yeast May Cause Trouble For Crohn’s Patients