
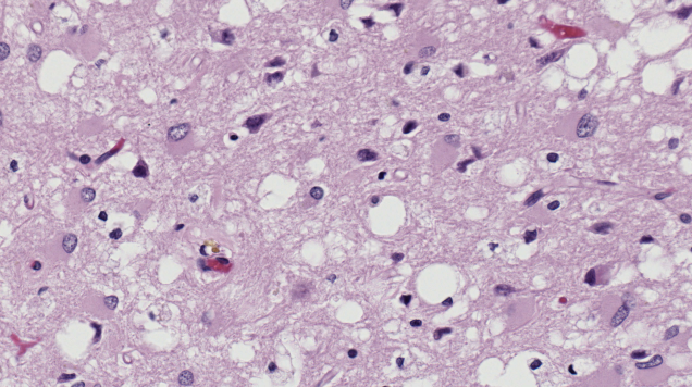
New research from Japan suggests that a rare brain-destroying disease caused by rogue prion proteins may be becoming more common—likely due to an aging population.
Source: Gizmodo – A Brain-Destroying Prion Disease Is Becoming More Common, Study Finds