
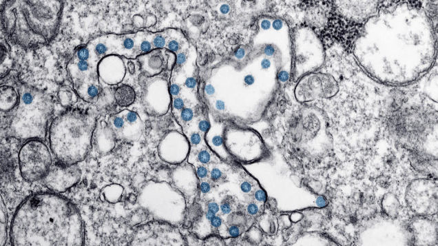
As the world struggles to contain covid-19, we’re reminded of the ways viruses aren’t like other organisms. In fact, these tenacious microbes defy traditional notions of life itself.
Source: Gizmodo – Viruses Make Us Question What It Means to Be Alive