
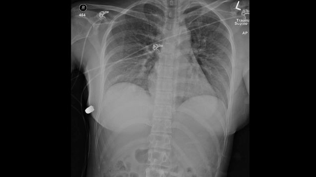
Doctors say a woman’s silicone breast implants deflected what could have been a fatal bullet, stopping it from reaching her heart. Amazingly, this is not the first time such a thing has been reported in the medical literature.
Source: Gizmodo – A Woman’s Breast Implants Saved Her Life From a Gunshot, Doctors Say