
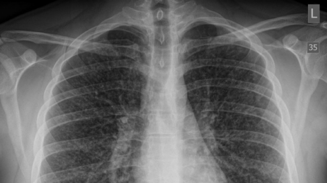
A Canadian teenager developed a life-threatening condition known as “popcorn lung” after several months of intense vaping, in the first medical case linking this chronic lung disease to e-cigarette use.
Source: Gizmodo – Doctors Report First Documented Case of ‘Popcorn Lung’ From Vaping