
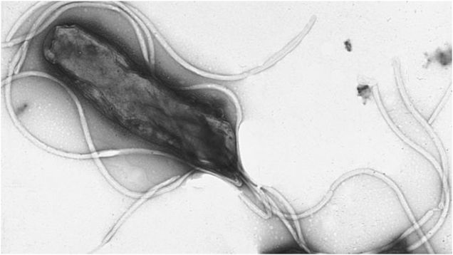
A common bacterial infection that causes stomach ulcers and cancer has gotten increasingly harder to fend off, according to new preliminary research out this week. In Europe, it suggests, strains of the bacteria Helicobacter pylori have become more resistant to the first-line drugs used to kill it over the past 20…
Source: Gizmodo – The Bacteria That Cause Stomach Ulcers Are Becoming Drug-Resistant, Too