Man has massive, rotting scrotum removed after avoiding doctors for decades

Man has massive, rotting scrotum removed after avoiding doctors for decades

Enlarge (credit: Getty )

After three decades of progressive symptoms, a 43-year-old man from Panama was rushed into emergency surgery with a massively swollen scrotum that hung past the level of his knees and had begun to rot and ooze foul-smelling pus, a team of Texas doctors report.

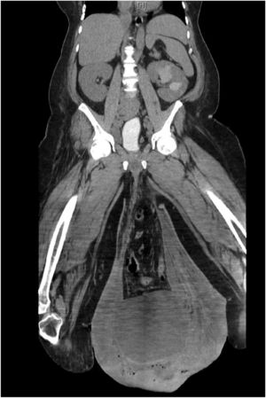
When he arrived at the hospital, he had a fever of 102.2 °F (39 °C) and rapid heart rate, as well as extensive swelling and thickened skin in his scrotum and upper right leg. He also had two open wounds in his scrotum. Further imaging of his abdomen and pelvis revealed a large hernia containing part of his colon, as well as a huge abscess, considerable tissue damage, and fluid collection. (You can see NSFW images of his condition here)

Fearing the ravages of gangrene and sepsis—a life-threatening response to infection—the doctors quickly wheeled him to an operating room to try to remove the rotting flesh. Pathologists examining tissue from his scrotum found extensive inflammation and that some of his skin had begun to liquify.

Read 9 remaining paragraphs | Comments



Source: Ars Technica – Man has massive, rotting scrotum removed after avoiding doctors for decades