Terrifying Malware Alters CT Scans To Look Like Brain Cancer, Fools Radiologists

Terrifying Malware Alters CT Scans To Look Like Brain Cancer, Fools Radiologists
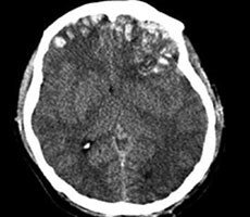
CT scans are essential tools that help medical practitioners detect various medical conditions. Healthcare providers rely on the accuracy of these technologies, because a misdiagnosis could prove fatal. Unfortunately, this vital technology is vulnerable to hackers. Researchers recently designed malware that can add or take away fake cancerous

Source: Hot Hardware – Terrifying Malware Alters CT Scans To Look Like Brain Cancer, Fools Radiologists