
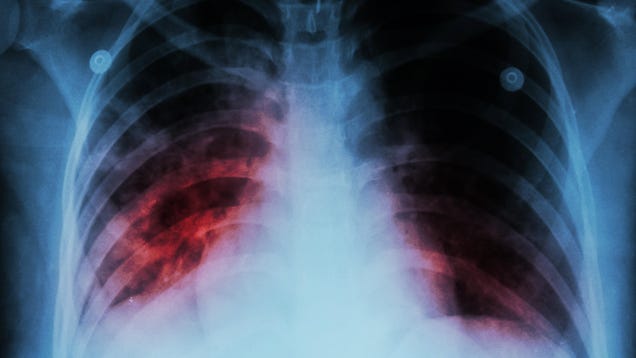
A Washington woman with tuberculosis who has refused treatment for over a year is set to be arrested as a result. According to the Tacoma-Pierce County Health Department, the woman had repeatedly disobeyed court orders to stay isolated until she completed treatment. A local judge has now issued a warrant for her…
Source: Gizmodo – Washington Woman to Be Arrested After Refusing Tuberculosis Treatment
