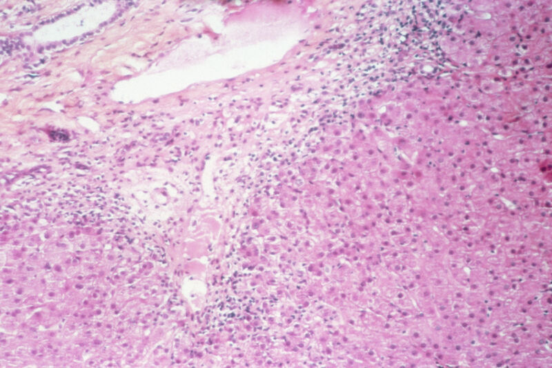
Enlarge / Liver lesions in patient with chronic active hepatitis C. (credit: Getty | BSIP)
Researchers in the United Kingdom have come up with the most detailed, complex hypothesis yet to explain the burst of mysterious cases of liver inflammation—aka hepatitis—in young children, which has troubled medical experts worldwide for several months.
The cases first came to light in April, when doctors noted an unusual cluster of hepatitis cases in young children in Scotland. The illnesses were not linked to any known cause of hepatitis, such as hepatitis (A to E) viruses, making them unexplained. Though unexplained cases of pediatric hepatitis arise from time to time, a report that month noted 13 cases in Scotland in two months when the country would typically see fewer than four in a year.
Since then, the World Health Organization has tallied more than 1,000 probable cases from 35 countries. Of those cases, 46 required liver transplants, and 22 died. The Centers for Disease Control and Prevention identified 355 cases in the US. As of June 22, 20 US cases required liver transplants, and 11 died.
Read 10 remaining paragraphs | Comments
Source: Ars Technica – New hypothesis emerges to explain mysterious hepatitis cases in kids