
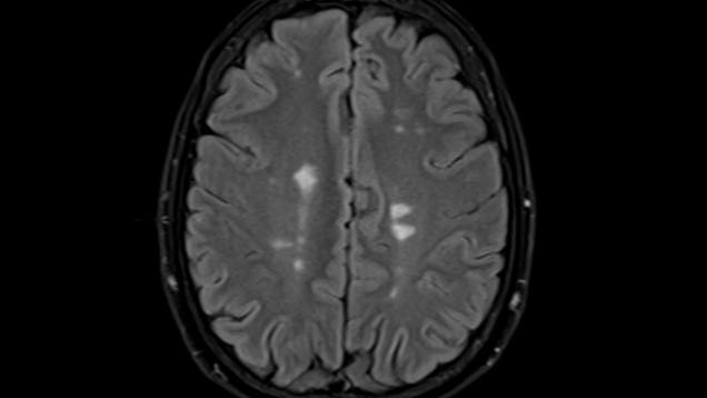
Early clinical data is showing promise for an experimental treatment tackling multiple sclerosis. The treatment, which targets a virus closely linked to MS called Epstein-Barr virus, was found to be safe and possibly effective at halting the progression of symptoms in some patients. But it will take much more data to…
Source: Gizmodo – Promising Data Suggests New Multiple Sclerosis Therapy Could Halt or Reverse Symptoms