
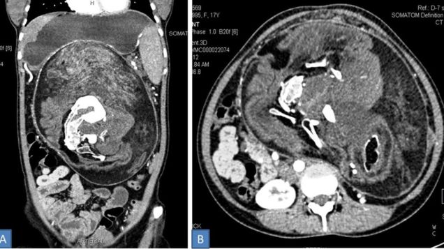
A young woman in India unknowingly lived with one of the rarest and most unsettling medical conditions for nearly two decades, her doctors say. According to a case report out this week, the woman had a sac containing her still-growing “twin” lodged in her abdomen for 17 years. The twin had hair, teeth, and even a…
Source: Gizmodo – A Woman Lived with a ‘Twin’ Inside Her for 17 Years Without Knowing